Collection of the pictures of important histology slides taken from a microscope . The images are arranged according to Systems and are extremely useful for medical students.
Contents:
General
Musculoskeletal System
Central Nervous System
Gastro-Intestinal System
Cardiovascular system
Respiratory System
Reproductive System
Renal System
Endocrine System
General
Cuboidal gland
Cube shaped, central nucleus.
eg. salivary, pancreatic duct, collecting tubules of kidney

Elastic cartilage of epiglottis
1. Condrocytes are present in lacunae.
2. Matrix is made of elastic fibres predominantly.
3. Perichondrium is present.
Brown Adipose Tissue

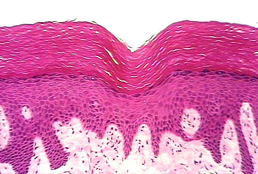
Thick skin
1. Lined by stratified squamous epithelium.
2. Presence of keratin layer.
3. Epidermal projections into dermis are epidermal papillae.
4. Dermal projections into epidermis are dermal papillae.
Thin skin
1. Presence of hair follicles.
2. Lined by stratified squamous keratinized epithelium.
3. Presence of dermis and epidermis.
Hyaline cartilage of bronchus
1. Presence of pericondrium.
2. Presence of cell nests.
3. Presence of condrocytes in the cell nests.
4. Matrix contains collagen fibers.
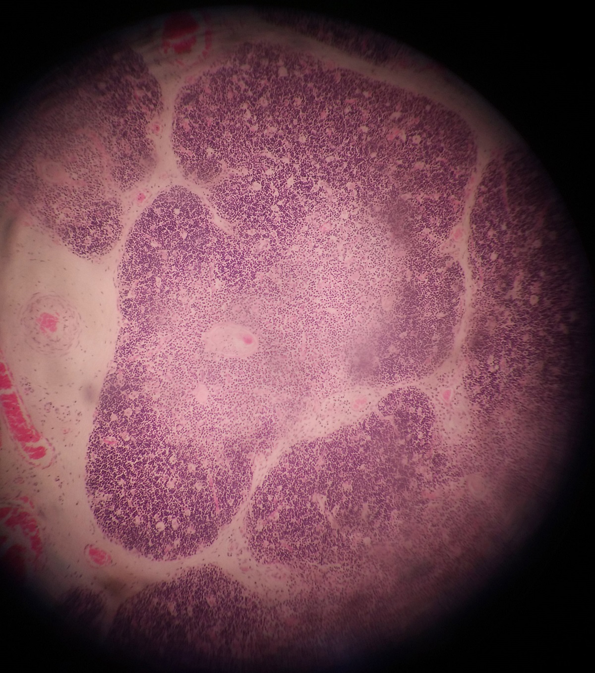
Lymph Node
Presence of capsule and subcapsular sinus
Differentiated into cortex and medulla
Cortex has follicles: primary and secondary (pale staining germinal centre).

Epiglottis
It has both lingual and laryngeal surface
Lingual surface is lined with stratified squamous non keratinizing epithelium while laryngeal surface is lined with pseudostratified ciliated columnar epithelium
Central elastic cartilage forms its framework

Fibrous cartilage

Muscular Artery
Innermost tunica intima with endothelium and subendothelial connective tissue
Thick middle layer is tunica media with smooth muscles and elastic fibre in form of internal and external elastic lamina
Outermost tunica adventitia consists of both collagen and elastic fibers

Non Keratinized epithelium
A stratified squamous epithelium consists of squamous (flattened) epithelial cells arranged in layers upon a basal membrane. Only one layer is in contact with the basement membrane; the other layers adhere to one another to maintain structural integrity.
eg oral mucosa, vagina,anal canal
Skeletal muscle
1. Muscle fibers donot branch.
2. Nucleus is located in the periphery.
3. Presence of cross striations.
Smooth muscle
1. Myocytes are spindle shaped.
2. Myocytes contain central nuclleus.
Tendon
Compact linear collagen fibers seen.
Few scattered, inactive fibroblasts with nuclei
Poor vascularity, tiny nerve endings and tendon stretch receptors see.

Reticular fibers

Caridac muscle
1. Muscle fibers are branching.
2. Nucleus is centrally placed.
3. Presence of intercalated discs.
Musculo skeletal System
Bone – TS
The osteocytes are arranged in concentric rings of bone matrix called lamellae (little plates), and their processes run in interconnecting canaliculi. The central Haversian canal, and horizontal canals (perforating/Volkmann’s) canals contain blood vessels and nerves from the periosteum.

Cancellous bone
Bones are much more porous with larger haversian canals and fewer lamellae.
Gives characteristic honeycomb appearance. Adaption to compressive forces.
Present near epiphyseal region of long bones, iliac crest.

Central Nervous System
Ganglion
1. Discrete aggregation of neurone cell bodies located outside CNS.
2. Nuuclei tend to be eccentrically located.
3. Satellite cells are smaller in number & irregularly placed due to numerous dendritic process.

Peripheral Nerve – LS
1. Cut section of axons are seen.
2. Axons lined by myelin sheath.
3. Nodes of Ranvier seen.

Peripheral Nerve – TS
1. Cut section of nerve fiber bundles are seen.
2. Perineurium is seen.

Cerebellum
Located in post cranial fossa and covered superiorly by the tentorium cerebelli.
Histologically:
A. Outer grey matter:
i. Outer molecular layer which contains stellate and basket cells & their processes.
ii.Purkinje layer contains purkinje cells and golgi cells.
ii. Inner granular layer contains numerous granule cells.
B. Inner white matter: Deeply convulated folds or folia supported by a branching central medulla of white matter.
Cerebrum
Spinal cord

Eye
Retina of eye has 8 layers. From outer to inner:
1. Pigment cell layer
2. Layers of rods and cones
3. External nuclear layer
4. External plexiform layer
5. Inner nuclear layer: has 3 types of neurons Bipolar neurons, horizontal neurons and amacrine cells
6. Internal plexiform layers
7. Layer of ganglion cells
8 Layers of optic nerve fibers

Tongue fungiform papillae

Ileum

Jejunum

Liver
Hepatocytes extend as cord between central vein and portal triad in each corner
Bile canaliculi and hepatic sinusoids are present
Portal triad structure with bile duct,hepatic arteriole and hepatic venule are present.

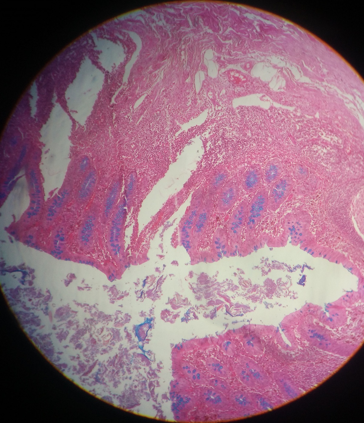
Duodenum

Esophagus
Mucosa with stratified squamous epithelium.
Small seromucous gland in the submucosa
Muscularis propria differentiated into outer longitudinal and inner circular.

Cardio-esophageal junction
Abrupt transition from stratified squamous epithelium to glandular mucosa
Muscularis propria of esophagus is continuous with stomach
Esophageal cardiac glands are present in lamina propria.

Appendix
Lymphoid masses within mucosa and submucosa often forming germinal center
Mucosal glands are much less closely packed than large intestine

Colon
Closely spaced straight tubular glands or crypts that extends deep to muscularis mucosa
Epithelium consists of goblet cells and columnar absorptive cells
Three longitudinal muscle layers called taenia coli are present.

Gall bladder
Mucosa is thrown into numerous folds with loose submucosa
Fibres of muscular layer are arranged in longitudinal, transverse and oblique orientation and don’t form distinct layers
Tall columnar cells with basal nuclei are seen.

GB

Pancreas
Lobulated organ with collagenous capsule which extends as septa
Exocrine component made by pancreatic acini
Endocrine component composed of islets of langerhans.

Pancreato-duodenal junction
Mucosal ridges become broader, more irregular.
Lymphatic nodules are seen between the stomach and duodenum
Mucous secreting stomach epithelium changes to intestinal epithelium(goblet cells with microvilli)

Parotid gland
Gland(serous) is divided into numerous lobules with secretory unit
Presence of connective tissue septa extending from capsule with blood vessels, nerves seen
Intercalated duct also seen
Presence of lobules and connective tissue septa is common feature of all three types of gland
We need not differentiate, simply identify as salivary gland.

Spleen

body of Stomach

Sublingual gland
Mucous acini are predominant forms.

Submandibular gland
Mixed mucous and serous cells seen
Mucous cells(lightly stained) have serous demilunes(deeply stained)

Cardio vascular system
Aorta
Endothelium with subendothelial connective tissue
Elastic fibres (more) and muscles constitute the bulk of tunica media
Tunica adventitia with connective tissue and vasa vasorum.

Venacava
Tunica adventitia with vasa vasorum and longitudinal smooth muscle layers
Tunica media with thin layer of circular muscles
Endothelium with subendothelial connective tissue.

Respiratory System
Trachea
Incomplete C shaped cartilage present
Trachealis muscle is present posteriorly where cartilage is incomplete
Lined by pseudostratified ciliated columnar epithelium

Bronchus
Flattened cartilage plates are present
Lined by respiratory epithelium with fewer goblet cells
Smooth muscles between lamina propria and submucosa which become prominent in distal bronchi

Lung
* In its histologic section, there are bronchi, bronchioles(terminal and respiratory) and alveolar sac and alveoli.
* Alveoli are small air filled pouches separated by alveolar septa.
* flattened pneumocytes and rich capillary network present.

Reproductive System
Vas deferens
It has inner and outer longitudinal muscle layer and intermediate circular layer(same like urinary bladder)
Lined by pseudostratified epithelium thrown into folds
Lamina propria beneath the epithelium with collagen

Epididymis

Graffian Follicles

Prostrate
Composed of glands and stroma
Stroma made of supporting collagenous tissue with smooth muscle
Glands with convoluted pattern lined by tall columnar secretory cells with flat basal cells
Inspissated calcified concretions may accumulate forming corpora amylacea

Seminal vesicle
Highly irregular and recessed lumen giving a honeycomb appearance
Epithelial lining is of pseudostratified columnar with secretory cells and lipid droplets in cytoplasm giving it foamy appearance
Prominent muscular wall with arrangement into inner circular and outer longitudinal layer

Testis
Dense fibrous capsule outside called tunica albuginea and has:
myofibroblasts, smooth muscles
Deepest layer of tunica albuginea called tunica vasculosa has blood and lymphatics
Inside testis:
There are lobules each with many seminiferous tubules lined by:
Germ cells in various stages of spermatogenesis and spermiogenesis collectively called spermatogenic series
Non germ cells called sertoli cells
In the interstitial cells, there are supporting leydig cells.

Penis
3 columns of erectile tissues
Two dorsal columns are called corpora cavernosa and one ventral column is called corposa spongiosum
Through corpora spongiosum, penile urethra passess
Erectile corposa are enclosed within and separated by fibrocollagenous septa F
Finally enclosed within the sheath of skin with blood vessels

Mammary gland in Lactating stage
Large no. of distended alveoli filled with secretions and vacuoles
Irregular branching of alveoli
Increased presence of adipose tissue
In mammary gland typical features: no need to distinguish lactating and resting
Adipose tissue with fibrous septa
Branching tubuloacinar gland
Glandular epithelium with epithelial and myoepithelial cells
Note : mammary gland could be confused with thyroid; generally mammary gland is more or less heterogenous while thyroid is homogenous.

Mammary gland in resting stage

Uterus Secreting
In all, uterus has perimetrium,myometrium and endometrium
Endometrium has stratum basalis,stratum compactum and spongiosum
Proliferative: Straight tubular glands; Increased thickness of endometrium
Secretory: Coiled tubular glands; Increased thickness of endometrium.

Uterus proliferating

Ovary
Has two layers: germinal epithelium and stroma
Stroma has: cortex and medulla
Cortex: outer(tunica albuginea) and inner(follicles at various stages)
Medulla: has helicine arteries and hilus cells

Oviduct

Cervix
Cervical canal in cervix is lined with tall mucus secreting columnar epithelium
Branched tubular cervical glands also seen
Lamina propria with more fibrous tissue, blood vessels seen.
In the lower end of cervix, the os cervix bulges into lumen of vaginal canal and epithelium abruptly changes there from columnar to stratified squamous.

Vagina
Mucosa is irregular with folds
Lamina propria with dense irregular connective tissue and lymphatics
Predominantly oblique layer of muscles present in muscularis propria.
Adventitia with blood vessels and nerve fibres.

Renal System
Ureter
Presence of transitional epithelium
Upper two third contains inner longitudinal and outer circular @COLI
(COLI in ureter (@since e.coli is common in lower urinary tract)
Lower one third contains additional outer longitudinal layer.

Urinary bladder
It resembles lower one third of ureter:
The urinary bladder slide in our college is not of human( in human, preparation of complete circumference would not be possible)so slide in college have complete circumference. One way to distinguish ureter and urinary bladder is to compare magnification.
If we see complete lumen in 4 magnification, its urinary bladder
If we seen completer lumen in 10 magnification, its ureter. So look in focused lens also

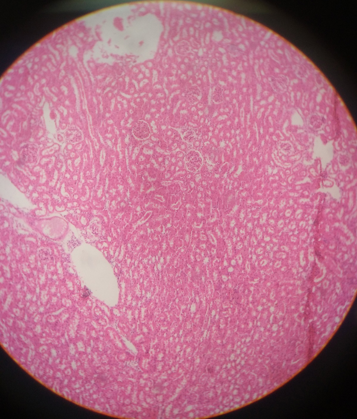
Glomerulus of Kidney

Endocrine
Adrenal cortex
Outer cortex and inner medulla
Prominent vein V in the center.
Cortex has 3 regions:
Zona glomerulosa: secretory cells in rounded clusters
Zona fasciculata: parallel cords of secretory cells
Zona reticularis: small closely packed cells in irregular cords

Thymus

Thyroid
Consists of thyroid follicles and parafollicular cells(C cells)
Parafollicular cells are present in interstices between the follicles
Thyroid follicles has:
Cuboidal and flat lining epithelium (at inactive)
Columnar and tall lining epithelium( at active)
Homogenous colloid inside (stained pink)

Pituitary gland
Two main population of cells:
Chromophils(strongly staining cytoplasm)
Chromophobes(weakly staining cytoplasm)
Chromophils are also two types:
Acidophils
Basophils
Capillaries between the clumps of secretory cells.
