As a pediatric resident working in a tertiary hospital in Nepal, there are days where I feel helpless. Some days I feel like a magician when a dying child survives from my little efforts. But there are also days where I feel that tightness and heaviness in my heart and remind me how fragile life is, and how even being a doctor, we have very less in our hands that we can actually do.
One of the hardest truths I have faced is this: children are still dying from paraquat poisoning in Nepal, even though this pesticide is supposed to be banned.
Yes—on paper, paraquat has been prohibited here. But in reality, it is still sold cheaply in the markets, kept in households, and used in fields because it is affordable and effective. Farmers use it because it does its job. But when it ends up in the hands of children or desperate adolescents, it becomes one of the most lethal poisons known to medicine.
Even a small amount—just one tablespoon—can be enough to kill.
The Cruelty of Paraquat Poisoning
Paraquat is not like other poisons. It is cruel in its design. Once ingested, it doesn’t stay in the blood for long—it immediately leaves our blood and gets redistributed in organs like the lungs, kidneys, and liver. There, it begins its destruction.
The lungs suffer the most. Paraquat scars them, slowly turning healthy tissue into stiff, fibrous tissue that cannot expand or breathe. The child fights for every breath, gasping, chest heaving, oxygen levels dropping. Families sit helplessly by their side, watching their child suffocate—not in minutes, but over days or even weeks.
And for us as doctors, it is one of the most powerless situations we face. There is no antidote. Not in Nepal. Not anywhere in the world. We try what little supportive measures we have—ventilators, steroids, antioxidants, dialysis. We read international journals and articles desperately looking for hope, but more often than not, we are left with the same bitter reality: paraquat wins.
Faces I Cannot Forget
There are certain children whose stories stay with me.
- A boy who drank paraquat after his grandfather scolded him.
- A girl, barely in her teens, who ingested it after fighting with her sister.
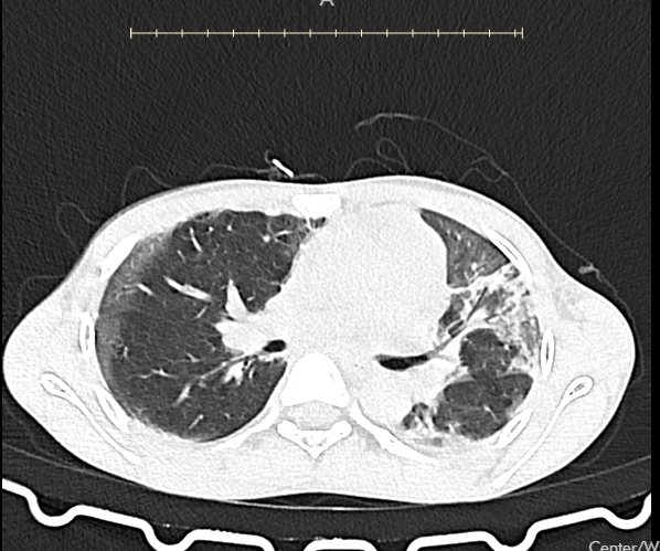
Both of them were rushed to our ward. Both of them had CT scans that showed the extent of their lung damage. Both of them fought, and we fought with them. But in cases like these, our fight feels so unfair—because the poison is almost always stronger than medicine.

Child A

Child B
I have seen children survive, and those moments are precious. Seeing them walk out of the hospital, knowing they defeated something that kills most others, is like watching a miracle. But those cases are rare. For every survivor, there are many more who do not make it. And with each death, it feels like we, as a society, have failed.
The Bigger Problem We Are Ignoring
Paraquat poisoning is not just about pesticides. It is also about the mental health crisis among our children and adolescents.
I see it every day—the rise in suicide attempts among young people. Many of them act impulsively, in moments of anger, fear, or despair. A fight with a sibling, harsh words from a parent or grandparent, a bad exam result. For most children, these are temporary struggles. But when paraquat is sitting in a bottle within reach, those temporary struggles become permanent endings.
This is the cruel reality: paraquat turns impulsive mistakes into irreversible tragedies.
Where Do We Go From Here?
Every time I see another child admitted with paraquat poisoning, I feel the same mix of anger and helplessness. Why is this poison still available if it is banned? Why do families still have easy access to it? Why has nothing changed despite decades of evidence that paraquat kills with no mercy and no cure?
We need more than a ban on paper. We need strict enforcement of the law, cracking down on the sale and distribution of paraquat. We need safe alternatives for our farmers so they are not tempted to use this cheap but deadly pesticide.
And just as importantly, we need to start talking about mental health. We need to recognize that our children and adolescents are under more pressure than ever, and we need systems of support that stop them from turning to such drastic actions in the first place.
What Parents and Families Can Do
If, God forbid, a child ingests any chemical or pesticide:
- Do not wait at home. Rush to the nearest hospital immediately.
- Do not give milk or home remedies—they do not neutralize paraquat.
- Bring the container or bottle of what was ingested, so doctors know exactly what they are dealing with.
Prevention, though, is the real answer. Keep pesticides locked away, far from children. Talk to your children and teenagers about their struggles, and remind them that even the hardest moments will pass.
A Call From the Heart
No child should die the way paraquat makes them die—gasping, suffocating, fighting for air with lungs that no longer work. It is a slow, painful, undignified death that no parent should have to watch, and no doctor should have to stand powerless before.
As someone who has seen this up close, I am pleading: let us not lose more children to paraquat.
Let us enforce the ban. Let us give our farmers safer tools. Let us protect our children from poisons that should never have been within their reach in the first place.
Because paraquat does not just kill. It steals futures, dreams, families, and hope. And that is a price Nepal cannot afford to keep paying.
👉 If even one authority reads this and takes action, if even one family locks away their pesticides, if even one child is saved, then writing this will have been worth it.