So today was my first day of Oncology posting, a new day after thesis submission. The last two weeks were a rollercoaster for me. So many thesis corrections, […]
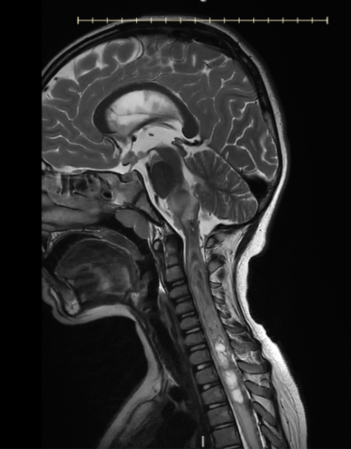
When an “Interesting Case” Becomes a Lifelong Lesson
As pediatricians, we often say that children are not just “small adults.” Their presentations can surprise us, puzzle us, and at times humble us. Recently, I came across […]
Paraquat Poisoning in Nepal: Watching Children Die a Death No One Deserves
As a pediatric resident working in a tertiary hospital in Nepal, there are days where I feel helpless. Some days I feel like a magician when a dying […]
Heart Attack Signs: What Every Nepali Should Know and How to Respond
A comprehensive guide on heart attack tailored for Nepal’s unique healthcare landscape Heart Attack – The Silent Threat in Nepal Cardiovascular disease has become the leading cause of […]
COPD in Nepal: A Comprehensive, Nepal-Specific Guide to Prevalence, Risks, Diagnosis, Management, and Prevention
Overview Chronic Obstructive Pulmonary Disease (COPD) is one of Nepal’s most pressing noncommunicable diseases, with among the world’s highest burden and distinct local drivers: household biomass smoke exposure, […]
Complete Guide to Tuberculosis Treatment Nepal: What Every Family Needs to Know
Empowering Nepali families, healthcare workers, and communities with vital knowledge on tuberculosis – compassionate, clear, and life-saving. 1. Introduction: The TB Landscape in Nepal 2. Recognizing TB Symptoms: […]
Dengue Fever in Nepal
Dengue Fever in Nepal: Complete Monsoon Guide to Symptoms, Prevention & Home Care 🚨 EMERGENCY: When to Rush to Hospital IMMEDIATELY Call 102 (Ambulance) or go to the […]
Therapeutic Hypothermia: How Cooling Saved a Baby’s Life
In the labor room of TU Teaching Hospital, a mother with no pre-natal (before pregnancy) complications or health issues delivered her first child via normal vaginal birth. Immediately […]
Nepal’s National Vaccination Schedule: A Comprehensive Guide for Parents
Introduction Vaccination (खोप) is one of the most effective ways to protect children, pregnant mothers (गर्भवती आमा), and entire communities (समुदाय) from preventable diseases. Nepal’s National Vaccination Program […]
The Undying Curse: A NICU Story
A female child was born at term through an emergency cesarean section (CS) performed for non-progress of labor. From the very beginning, her medical journey was marked by […]